三元整形网三元整形网

当前位置: 三元整形网 > 项目大全 > 牙齿美容 > 洗牙 >

洗牙

简介

洗牙,专业术语龈上洁治术,又称洁牙,是指利用洁治器械去除牙龈上的牙石,菌斑和色渍,并磨平牙齿表面,以延迟菌斑和牙石再沉积。洗牙是现如今社会用的较多的预防牙周病的重要措施,同样也是左右类型牙周病较基本的缓解手段。

档案

  • 适宜人群:牙齿染色者
  • 技术手段:手术
  • 疗  程:1次手术
  • 手术费用:200-2500元
  • 效果持续:12-24个月左右
  • 治疗时长: 1个小时左右
  • 麻醉方法:局部麻醉
  • 拆线时间:无需拆线
  • 是否住院:无需住院
  • 术后休息:无需休息

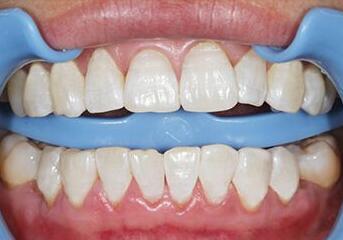
效果示例

优点

1、洗牙可以预防龋齿

2、洗牙可以预防牙周病

3、洗牙可以发现口腔问题

4、洗牙可以防止口臭

缺点

1、洗牙会损坏牙龈

2、洗牙会导致牙缝变大

3、洗牙会导致牙齿敏感。

4、洗牙会易造成交叉感染

注意事项

1、在洗牙后两周,不宜食冷、热、酸、甜等食品。

2、在洗牙后一至三周内牙体过敏,属正常现象。(如酸倒牙的感觉。感觉轻重,视牙根暴露程度而定)。

3、在长期不洗牙或牙结石较大时,洗牙后感觉间隙变大,属正常现象。

4、牙齿洁护时间应在半年至一年一次。

案例