三元整形网发布:2020-09-23 14:34 167 评论 纠错/删除
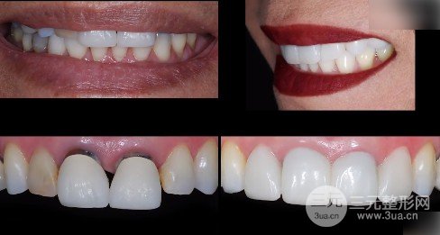
做了根充,主治通常一定会告知:推荐在外头加个冠啊,然后求美者头1次做没经验。部分求美者即便应下来,也有疑问:“缓解都做完了,我也不疼了,还做啥这个干嘛?”。因此抱着心存侥幸,让牙齿在没有“外部防护”的状况下:咬着肉干,嗑着小花生。某一天牙齿裂了,有人也许要说,那假如根管填充后,我尽可能谨小慎微的使用。不叫牙齿劈裂不就好了嘛!当然可以,不过这个时候!你每次吃饭的时候便会总是想这事。不能用这一边吃,不能用这颗牙齿吃,常规咬合、饮食便会备受干扰,如何安心享用美食?假如你缓解当时选了钴铬合金,你会发觉好像烤瓷也没那么矜贵,戴上...也还行呢~
钴铬合金烤瓷牙好吗?

钴铬合金半贵金属烤瓷冠的象征是钴铬合金烤瓷冠,称其为“无镍无铍合金”。关键成分是钴、铬,其价钱处于非贵金属和贵金属中间,其实际适用性优于镍铬合金烤瓷冠,耐磨损,不容易发生崩瓷,可以避免牙床流血及灰黑色牙龈的现象发生。同时实惠、好用,适宜大部分牙齿的修复,特别适宜后槽牙桩冠等固定修复。它的益处,实际上也是比较另一种材料而言的——
镍铬合金
镍铬合金材料,价钱较低廉,在西方算是过时技术,合金内冠*使用会产生镍元素挥发,15%的持有者有轻微的注射瘦脸反映和过敏症状,并在持有者的牙床处产生镍合金的集中使牙床变黑。对比钴铬合金,镍铬价格便宜,但稳定性和性能也是钴铬合金更胜一筹。
镍铬合金烤瓷牙有诸多缺点,而贵金属材料价位不降,一般普通人没办法接受,那么中间价格的烤瓷牙谁可一战?毫无疑问钴铬合金烤瓷牙具备竞争优势,因为其不带有对身体危害的镍元素与铍元素,降低风险稳定且价格合适的钴铬合金已变成求美者非贵金属烤瓷牙修复的优先选择。
钴铬合金则由性能较平稳的钴合金取代了镍合金,相较来说,金属性质平稳的多,对人的异常刺激小一点,同时钴铬合金较镍铬合金硬,耐腐耗,且和外部瓷粉的结合性也好一点。但它依然也是一类低廉的材料,并不是可以基本避免异常刺激和牙龈黑线,还不是较满意的修复材料。

烤瓷牙
烤瓷冠全称烤瓷牙熔附合金全冠,也称合金烤瓷牙全冠,是一类由瓷熔附到锻造合金基底冠上的金—瓷复合结构的修复材料。简单讲,就是里头是一个合金底冠,外边上1层瓷,因此它兼顾合金的抗压强度和瓷的美观大方,在较长一阵子深受求美者和大夫的钟爱。
根管缓解
根管填充是对于牙髓炎或死髓牙、根尖疾病无法留下活髓的破损牙,开展缓解的合理方法。根管填充后立即戴冠,这种提议是以有益于求美者的视角确立的!从临床医学视角来说,戴冠修复也是根管填充的必需流程!因此,做了根管填充的小伙伴们!一定要遵医嘱,立即戴上牙冠,这才算是对自己牙齿健康负责的行为!
根管后做牙冠的必要性
1、根管填充是以药品及其器材的应用来将根管中的杂质及其病菌竭尽所能地清理杀菌干净。不过,这样的杀菌过程假如要用心的开展,却必须去祛除不少被细菌感染的牙齿,以及迫不得已修整的牙体结构。因此绝大多数的牙齿要是开展根管填充,则可能不太足以支撑咬合的力量而可能破裂,纯粹用材料已经不能恢复作用,就算能恢复*作用也不好。

2、经过根管填充后的牙齿丧失了来源于牙髓的养分供给,就像丧失根茎的树木一样,渐渐地枯萎变的很敏感,导致牙齿的脆化增加,易破裂。
3、因为需要开展根管填充的牙齿通常已是龋坏(蛀牙)、缺失很大,这时尽管根管填充结束,不过其剩余的牙体结构是很敏感的,极其容易断裂、裂开,丧失常规的作用,纯粹用材料已经不能恢复作用。
贵金属烤瓷牙
烤瓷牙的金属材料内冠按所用金属材料不一样又分成贵金属和一般金属材料。贵金属就是大家常说的金合金,内冠金成分在84%以上,另含铂、钯等金属材料,不光可以降低修复体总重,还可提升其抗压强度,且其不光不易发生金属过敏的状况,是金属烤瓷牙中的姣姣者。价格因随金的应用重量而有相应差异。
为什么大夫更建议全瓷牙冠?

在预算充裕的条件下,因为全瓷牙的内冠不再应用金属材料,而选用与牙齿色彩相仿的高强度瓷材料做成,因而较金属材料来说,瓷的修复体更美观,半透明度与天然牙近似,修复后牙床边沿呈现更为自然,可做到模拟仿真作用,外观就更像自然牙。此外,全瓷牙对附近结构无刺激,传热低,不导电,抗磨损且人体适应性好,物理性能和美观性能都好于烤瓷牙,同时对头部和脖子的磁共振检测没有影响。
以上【钴铬合金烤瓷牙好吗?根管不用烤瓷不行吗?】的内容只是一个大概,想了解更多整形知识、价格信息,可以点击【 在线咨询】一对一沟通,可以获取优惠信息以及美学设计哦!