三元整形网发布:2021-04-08 10:21 104 评论 纠错/删除
深圳正夫口腔医院怎么样?深圳这座城市在大部分人的印象中都是一座发展迅速的现代化城市,确实深圳这样的一线城市生活节奏是十分快的,人们的压力普遍都是很大的,所以就经常会忽视对自己健康的关注,特别是口腔问题,所以很多人开始出现了口腔的问题,这时我们就需要到口腔医院进行缓解,但是深圳哪家口腔医院比较好呢?较近有人古来咨询深圳正夫口腔医院怎么样?目前来说深圳正夫口腔医院是一家针对各种口腔问题有所研究和缓解的综合型口腔专科医院,为大家带来口腔健康的保障,下面就来给大家具体的介绍一下这家医院。

深圳正夫口腔是正夫医疗连锁机构旗下的连锁深圳分院,同时目前医院也是深圳的医保定点单位,目前来说正夫口腔医疗在多个地区都有着连锁分部,目前在深圳本地也有多家分院,而且与国际上许多专业的口腔医疗机构都有着合作实力,医院实力是十分强劲,不管是从技术还是科研能力,都属于国际良好水平,在凭着自己的实力在业内站稳了脚步,获得了很多人的关注。

医院开始的项目较为多,包括各种疑难杂症问题,可以满足不同年龄的需求,而且医院内有着一只十分专业的医生团队,每个医生都是经过严格的审核考量后才能加入的,院内医生的专业技术基础也是较为强劲扎实的,并且不仅技术很好服务态度也十分温和,十分擅长根据人们的检查结果来进行个性化的事情,能够更好地解决人们的口腔问题,所以在口碑中心一直很高。

目前医院的优势就是在于园内有很多国内外专家在医院坐诊,可以为人民提供便捷降低风险的医疗服务,而且它采用的是数字化口腔诊疗方式,每一个来医院的求美者她都能够感觉到医院现代化的医疗设施和舒服的诊治环境,因此获得了不少的认可,在行业内的名气越来越大,并且医院还会经常会派遣院内医生到其他知名院校进修学习,来提升医生的综合实力,因此前来询问的病人也就越来越多,如果有口腔问题选择这里就是很正确的选择。
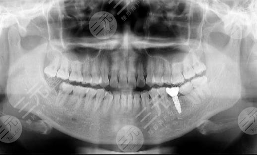
因为从小到大我都一直十分喜欢吃甜食,而且也没有睡觉前刷牙的习惯,这就导致我的牙齿很多都被蛀掉了,大牙哪里都是黑黑的蛀洞。在这两年有牙齿,因为虫蛀已经完全蛀坏了,为了不影响其他的牙齿,所以我到医院拔它拔掉了,但这也影响到了我的正常生活,于是我就来到了深圳正夫口腔医院进行种植牙。


到医院进行面诊的时候,医生先让我咬了牙齿的模型,然后又拍了牙片,选择了牙齿的种植体,一星期之后,我来到了医院进行种植牙。整个种植牙的过程是很快的,而且因为打了局部mz也没有任何的感觉。大家现在可以看到我的种植牙是十分成功的,而且看上去十分的洁白,跟周围的牙齿形成了鲜明的对比。
以上【深圳正夫口腔公司怎么样?是正规的吗?附种植牙过程】的内容只是一个大概,想了解更多整形知识、价格信息,可以点击【 在线咨询】一对一沟通,可以获取优惠信息以及美学设计哦!